Kieferorthopädie für Kinder und Jugendliche
Früh beginnen, lebenslang profitieren: Schöne Zähne für ein schönes Leben.
Unsere Mission: Ein strahlendes Lächeln für Sie und Ihre Kinder. Denn niemand muss heute mit schiefen Zähnen leben – Zahnregulierungen sind in jedem Alter möglich. Vereinbaren Sie jetzt Ihren Termin und machen Sie die ersten Schritte zu einem wunderschönen Lächeln!
4,8/5


Warum kieferorthopädische Behandlungen wichtig sind
Für Kinder und Jugendliche sind kieferorthopädische Behandlungen besonders wertvoll. Ab etwa 11 Jahren, wenn das körperliche Längenwachstum seinen Höhepunkt erreicht, ist die optimale Zeit für Zahnregulierungen. Mit modernen Methoden können wir diese Behandlungen effizienter und komfortabler gestalten, als viele Eltern dies aus ihrer Zahnspangenzeit in Erinnerung haben.
Vorteile der kieferorthopädischen Behandlung:
- Verbesserte Zahngesundheit
- Erhöhtes Selbstbewusstsein
- Prävention von Zahnproblemen + funktionellen Problemen

Unsere Leistungen für Jugendliche
Während der Hauptbehandlungszeit, wenn das Gebiss nicht mehr wächst, konzentrieren wir uns auf die Orthodontie, um gerade Zahnreihen zu formen. Unsere unsichtbaren Zahnspangen bieten eine ästhetische und dennoch effektive Lösung für Jugendliche, die besonderen Wert auf ihr Aussehen legen.

Gratis Zahnspange
Für einige Patient:innen bieten wir sogar eine kostenfreie Behandlung durch die Krankenkasse an, wenn der Schweregrad der Fehlstellung bestimmten Kriterien entspricht (IOTN 4 und 5).
Kieferorthopädische Behandlungsoptionen für Jugendliche
- Orthodontische Behandlung mit festsitzender Apparatur
- Außenliegend: -Metall oder Keramikbrackets, Suresmile©-Technik, Sato-Technik
- Fallweise: Innenliegend-unsichtbar, z.B. DW WIN Lingual Systems
- Orthodontische Behandlung mit Alignern (z.B. Invisalign© Teen)
- Kombinierte festsitzend-abnehmbare Behandlung (4×2-Mechanik oder 6×2-Mechanik)
- Behandlung mit herausnehmbaren Geräten
- Wachstums- und Entwicklungssteuerung Funktionskieferorthopädie
- Gesteuerte Extraktionstherapie
- Sportmundschutz
- Platzhalter bei vorzeitigem Milchzahnverlust








Kieferorthopädische Behandlungen für Kinder

Kieferorthopädische Behandlungsoptionen für Kinder
- Kombinierte festsitzend-abnehmbare Behandlung (zb 4×2-Mechanik oder 6×2-Mechanik)
- Mehrphasenbehandlung
- Behandlung mit herausnehmbaren Geräten
- Wachstums- und Entwicklungssteuerung
- Funktionstherapie
- Sportmundschutz
- Logopädie
- Gesteuerte Extraktionstherapie
- Platzhalter

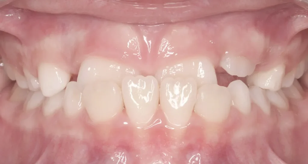
Vorzeitiger Milchzahnverlust – Platzhalter sichern den Zahndurchbruch
Geht ein Milchzahn zu früh verloren, kann das Folgen für die Entwicklung des bleibenden Gebisses haben. Um spätere Fehlstellungen zu vermeiden, setzen wir sogenannte Platzhalter ein.
Was bewirkt ein Platzhalter?
Er hält die Lücke offen, bis der bleibende Zahn durchbricht – damit kein Nachbarzahn in die Lücke kippt oder wandert. So bleibt der Raum erhalten und der natürliche Zahndurchbruch wird unterstützt.
Platzhalter gibt es in zwei Varianten:
- Festsitzend: dauerhaft fixiert, meist bei hinteren Zähnen
- Herausnehmbar: individuell angepasst, ideal bei vorderen Zähnen oder jüngeren Kindern
Wann ist ein Platzhalter notwendig?
- Frühzeitiger Milchzahnverlust durch Karies oder Unfall
- Wenn der bleibende Zahn noch nicht sichtbar ist
- Um Fehlentwicklungen oder späteren
Unser Ziel: Eine gesunde, stabile Zahnreihe – von Anfang an.
FAQ – Häufige Fragen zur Kieferorthopädie für Kinder und Jugendliche
Ab wann ist eine kieferorthopädische Behandlung bei Kindern sinnvoll?
Der ideale Zeitpunkt für eine erste Kontrolle liegt zwischen dem 5. und 7. Lebensjahr – besonders bei auffälligen Angewohnheiten (z. B. Daumenlutschen, Zungenpressen) oder frühzeitigem Milchzahnverlust. So können wir das Kieferwachstum gezielt unterstützen und Fehlentwicklungen frühzeitig erkennen und behandeln.
Warum ist das Alter zwischen 11 und 14 Jahren besonders wichtig?
In dieser Phase erreicht das körperliche Wachstum seinen Höhepunkt – der ideale Moment für Zahnkorrekturen. Die Kieferknochen sind noch formbar, was eine besonders effiziente, nachhaltige und oft kürzere Behandlung ermöglicht.
Welche Behandlungsmöglichkeiten gibt es für Jugendliche?
Jugendliche können bei uns aus verschiedenen, modernen Systemen wählen:
- Festsitzende Zahnspange mit Metall- oder Keramikbrackets
- Unsichtbare Zahnspangen wie Invisalign®Teen
- Lingualtechnik (innenliegende Zahnspange)
- Kombinierte Behandlung (festsitzend & abnehmbar)
- Sportmundschutz und individuelle Begleittherapien
Gibt es eine kostenlose Zahnspange?
Ja, bei Fehlstellungen ab IOTN-Stufe 4 oder 5 kann die Behandlung vollständig von der Krankenkasse übernommen werden. Wir prüfen die Voraussetzungen bei Ihrem Kind und unterstützen Sie bei der Einreichung der Unterlagen.
Was ist eine IOTN-Klassifikation?
Die IOTN-Skala (Index of Orthodontic Treatment Need) bewertet die medizinische Notwendigkeit einer Zahnspangenbehandlung auf einer Skala von 1 bis 5. Ab Stufe 4 ist in der Regel eine Kostenübernahme durch die Kasse möglich.
Welche Möglichkeiten gibt es bei Kindern im Milch- oder Wechselgebiss?
Bei jüngeren Kindern arbeiten wir vorwiegend mit:
- Herausnehmbaren Geräten
- Myofunktionellen Trainingsgeräten
- Funktionskieferorthopädischen Apparaturen
- Platzhaltern nach frühzeitigem Zahnverlust
- Begleitender Logopädie bei Sprach- und Schluckproblemen
Was ist eine Mehrphasenbehandlung?
Die kieferorthopädische Behandlung erfolgt häufig in mehreren Etappen:
- Frühbehandlung zur Steuerung von Wachstum & Entwicklung
- Hauptbehandlung zur Zahnstellungskorrektur im bleibenden Gebiss
So nutzen wir das natürliche Wachstum optimal und vermeiden aufwendige spätere Eingriffe.
Muss mein Kind während der Behandlung auf etwas verzichten?
Mit modernen Zahnspangen (auch mit Brackets) ist ein ganz normales Leben möglich. Ein paar Dinge sollten vermieden werden (z. B. sehr harte oder klebrige Lebensmittel), aber Einschränkungen im Alltag gibt es kaum – besonders bei Alignern.
Was, wenn mein Kind Sport treibt?
Wir bieten individuell angepasste Sportmundschutze an, die mit der kieferorthopädischen Behandlung kompatibel sind und für Schutz beim Training oder im Wettkampf sorgen.
Wie lange dauert eine kieferorthopädische Behandlung im Durchschnitt?
Die Dauer variiert je nach Ausgangslage und Methode. In der Regel dauert eine Behandlung bei Jugendlichen etwa 1,5 bis 2 Jahre. Bei frühzeitiger Behandlung im Kindesalter kann sich die Dauer verkürzen oder auf mehrere Abschnitte verteilen.
Wieso müssen Zähne gezogen werden?
Das Ziehen von Zähnen erfolgt auf Grund von Platzmangel und ist keine „veraltete Methode“, sondern muss manchmal trotz moderner Alternativen durchgeführt werden.
Jetzt online Termin anfragen!
Sie haben noch Fragen zu unseren kieferorthopädischen Behandlungen für Kinder und Jugendliche? Wir freuen uns auf Ihre Anfrage!
Online Termin vereinbaren